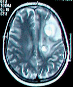
MRT Bilder vom 31. August 2001
 

 

Sie können sich das ganze MRT Bild in höherer Auflösung ansehen indem Sie auf das Bild klicken.
(Dateigröße je Bild ca. 500 KB)

 

zurück